微整針劑
Juvelook
喬雅露
又稱為素顏針、新童妍,是一款來自韓國的新型態膠原蛋白增生劑,結合了聚雙旋乳酸(PDLLA)和非交聯型玻尿酸(HA)的雙重成分。
具備「立即填補」的效果,擁有持續生成組織的特色,能夠打造富含彈性的肌膚,展現如天生般的好膚質。
具備「立即填補」的效果,擁有持續生成組織的特色,能夠打造富含彈性的肌膚,展現如天生般的好膚質。
適應症
本產品用於成年人之鼻唇溝的皮內及皮下填補凹陷,達到增加軟組織體積及矯正組織不對稱。
本產品用於成年人之鼻唇溝的皮內及皮下填補凹陷,達到增加軟組織體積及矯正組織不對稱。
中、英文名稱:芳蜜喬雅露軟組織注射植入物 | VAIM Juvelook Soft Tissue Injectable Implant
字第號:衛部醫器輸字第037021號
什麼是Juvelook喬雅露?
Juvelook喬雅露是來自韓國的新一代膠原蛋白增生劑,結合85%聚雙旋乳酸(PDLLA)和15%非交聯玻尿酸(HA)的雙重功效。達到拉提、飽滿等多重效果,同時提升膚質,讓肌膚綻放自然光采!成為首款專為「真皮層」注射的小分子組織增生劑。
Juvelook喬雅露的專利技術
結合85%聚雙旋乳酸(PDLLA)和15%非交聯玻尿酸(HA)的雙重功效:
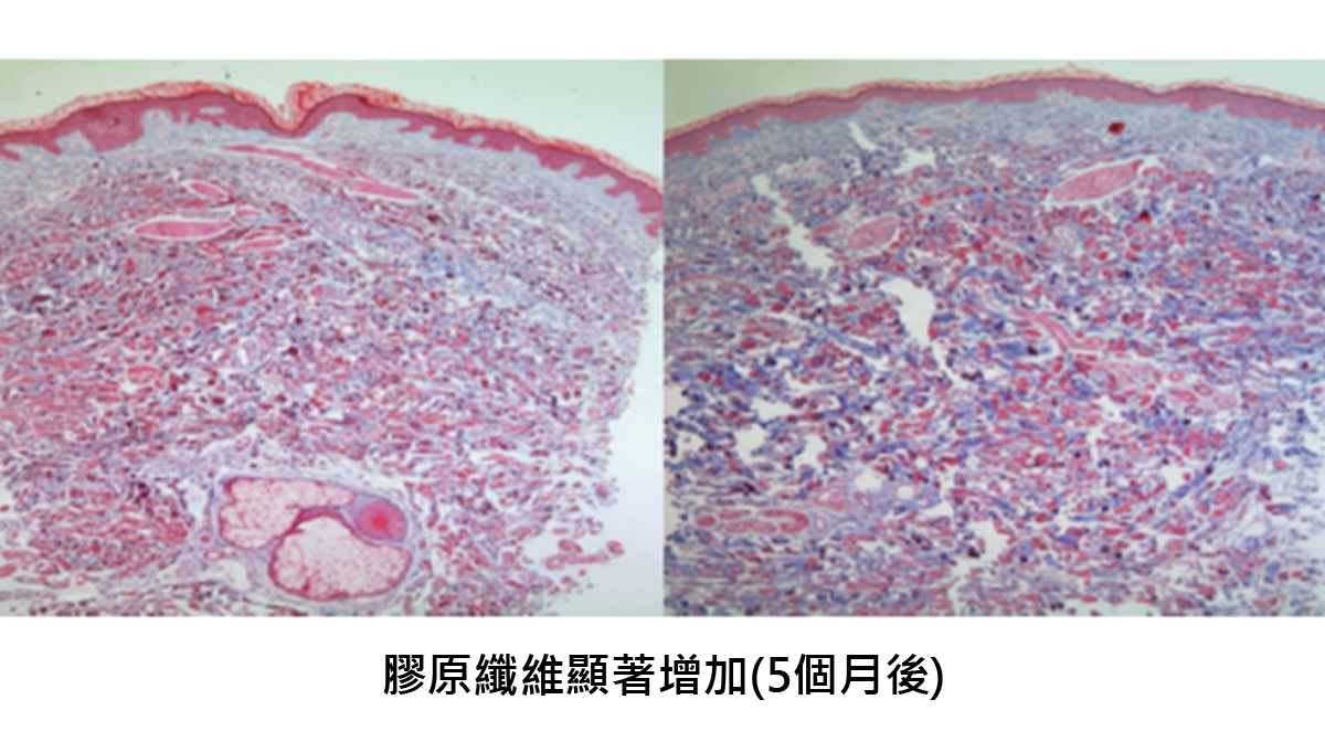
聚雙旋乳酸(PDLLA)是一種可被人體自然吸收的高分子材料,能持續刺激膠原蛋白,改善因膠原流失導致的肌膚鬆弛、皺紋與凹陷;而玻尿酸(HA)則可即時填補凹陷部位並提供保濕效果,讓肌膚更顯豐盈、飽滿且水潤。
聚雙旋乳酸(PDLLA)是一種可被人體自然吸收的高分子材料,能持續刺激膠原蛋白,改善因膠原流失導致的肌膚鬆弛、皺紋與凹陷;而玻尿酸(HA)則可即時填補凹陷部位並提供保濕效果,讓肌膚更顯豐盈、飽滿且水潤。
聚雙旋乳酸(PDLLA)
- 專利球體結構: 「冷凍噴灑技術」,使 PDLLA 微球在皮膚組織中更加穩定且均勻分佈,減少治療後出現結節或硬塊的風險,不易發炎腫脹,術後不需頻繁按摩。
- 網狀多孔構造:持續促進膠原蛋白作用,並隨著時間慢慢代謝、分解,效果溫和、效果持久。
- 生物可相容高且可被人體吸收:安全性高。
非交聯玻尿酸(HA)
- 天然的保濕因子:玻尿酸是人體本身就有的成分,具有強效的保水能力。
- 提供支撐效果:注射初期,玻尿酸會提供立即的填充效果,讓凹陷的部位看起來更飽滿,同時也提升肌膚的水潤度。
Juvelook喬雅露劑型
小分子 (Juvelook 50mg) | 大分子 (Lenisna 200mg) | |
|---|---|---|
產品圖片 | ![]() | ![]() |
粒徑大小 | 較細微(20-40微米) | 較大(40-80微米) |
特色 | 更容易均勻分布 適合注射於淺層真皮層 | 具備更強的支撐力 建議注射於皮下脂肪層或更深層 |
適合改善問題 | 改善膚質 撫平細紋 修復疤痕 提升肌膚彈性 | 體積填充 改善深層皺紋 改善輪廓線 身體部位改善 |
治療部位 | 全臉水光、痘疤/疤痕 眼周細紋、淚溝、頸紋 | 臉頰凹陷、皺紋 輪廓、身體緊實 |
維持時間 | 約12-16個月 | 約18-24個月 |
Juvelook喬雅露可施打部位
為什麼要Juvelook喬雅露
-
立即長效
兼顧 - 低結節風險
-
效果
自然漸進 -
維持時間
1-2年 -
深淺層
廣泛適用
術前術後須知與保養
Q:療程前注意事項
A:
- 懷孕期及哺乳婦女、未成年患者、有肥厚性疤痕或蟹足腫病史、正在服用抗凝血劑、有凝血功能方面病史、自體免疫病史患者、類風濕性關節炎患者,不建議施打。
- 對利度卡因等麻醉劑或其他皮下植入劑有過敏者,不建議施打。
- 禁止施打在眉間、前頷鼻部及眼眶周圍。
- 臉部有矽膠或假體植入物之部位;近1年內曾接受過膠原蛋白、玻尿酸填充劑治療、換膚或皮膚再生或其他面部整形手術(包括肉毒治療)者,需事先告知醫師。
- 療程前避免服用阿斯匹靈、抗炎症藥物及抗凝血藥物。若有其他正在服用的藥物,需事先告知醫師。
Q:療程後注意事項
A:
- 術後1周內避免壓迫治療的部位,術後無需按摩。
- 注射部位的輕微泛紅、腫脹,可藉由冰敷減緩,緊繃感約1周左右會消失。
- 術後請加強保濕修護與防曬隔離。
- 避免食用海鮮、酒精飲料及辛辣、刺激性食物。
- 避免刺激性、酸類產品的使用。(如酒精、杏仁酸)
- 避免劇烈運動及游泳。
- 避免前往三溫暖、烤箱、蒸氣間、溫泉等等高溫場所,使用室溫冷水清潔施打部位即可。
常見疑問解答
Q:Juvelook喬雅露施打次數及間隔時間?
A:漸進式施打,建議3-4週預約回診注射1次,共3次治療持續累積。
Q:Juvelook喬雅露維持時間?多久可以看到效果?
A:根據不同劑型,Juvelook喬雅露維持時間長達12-24個月,隨時間刺激膠原蛋白增生,呈現漸進式的改善。療程完成後即可感受玻尿酸填充性質的初步改善,隨著刺激膠原蛋白增生,約於2至4週後逐漸感受到更明顯的緊實與飽滿感。
Q:Juvelook喬雅露術後恢復期多久?是否需要按摩?
A:注射後可能出現短暫針孔、輕微瘀青或腫脹等正常反應,通常一週內會自然緩解。術後無需特別按摩,施打完當天即可恢復日常生活,幾乎沒有修復期。
- 如有進一步疑問歡迎來電詢問。

